A reprodução do seguinte conteúdo é livre mediante a citação dos artigos mencionados a partir do Coletivo Autista da UFPB, favorecendo o acesso ao nosso website. Esta página exibe adaptações de conteúdo extraído de pesquisas científicas relacionadas ao autismo, cujos artigos podem ser obtidos por meio dos links em suas referências.
Ansiedade em relação à saúde em pessoas adultas autistas
Contexto
Ansiedade em relação à saúde ocorre quando a pessoa interpreta sensações normais do corpo como sinais de doença grave.
Até agora, nenhum estudo havia investigado esse tipo de ansiedade em pessoas adultas autistas.
O estudo de Galvin e Richards, publicado em 2023, teve três objetivos:
Método
Os pesquisadores aplicaram um questionário de autorrelato a:
Nenhum(a) participante da pesquisa tinha deficiência intelectual.
O questionário coletou informações sobre:
Resultados
Conclusão
Este foi o primeiro estudo que investigou ansiedade em relação à saúde em pessoas adultas autistas.
Os resultados mostraram que:
Os achados têm implicações importantes para a prática clínica e para futuras pesquisas.
Referência
GALVIN, J.; RICHARDS, G. Health anxiety in autistic adults. Research in Autism Spectrum Disorders, [s. l.], v. 104, n. 6, p. 102146, 2023. Disponível em: https://doi.org/10.1016/j.rasd.2023.102146. Acesso em: 22 fev. 2026.
Flexibilidade cognitiva no autismo: como a previsibilidade da tarefa e o sexo influenciam o desempenho
Pessoas autistas frequentemente apresentam dificuldades de flexibilidade cognitiva.
Flexibilidade cognitiva é a capacidade de mudar estratégias, adaptar-se a novas regras e ajustar o comportamento diante de mudanças. No entanto, os estudos sobre o tema mostram resultados diferentes entre si. Isso indica que outros fatores podem influenciar essa habilidade.
A pesquisa de Lacroix e colaboradores (2024) investigou se características específicas do chamado “cérebro preditivo” em pessoas autistas poderiam explicar parte desses desafios, potencialmente variando de acordo com o sexo. O termo “cérebro preditivo” refere-se à capacidade do cérebro de antecipar acontecimentos com base em experiências anteriores.
Objetivo do estudo
O estudo buscou verificar:
Como o estudo foi realizado
Lacroix e colaboradores (2024) conduziram um estudo online com 263 pessoas adultas, com quantidade semelhante de homens e mulheres. Entre as pessoas participantes da pesquisa, 127 tinham diagnóstico de autismo.
Todas as pessoas participantes realizaram uma tarefa de flexibilidade cognitiva em três condições:
Principais resultados
Os resultados mostraram que:
Esses achados indicam que o sexo é um fator importante nas pesquisas sobre cognição no autismo.
Interpretação dos resultados
O desenho inovador do estudo sugere que pessoas adultas autistas podem desenvolver processos próprios de construção de previsões.
Esses processos podem:
No entanto, os resultados não confirmaram totalmente a hipótese inicial de Lacroix e colaboradores (2024). Isso indica que as teorias do “cérebro preditivo”, embora promissoras para explicar características do autismo, ainda precisam de pesquisas mais precisas e consistentes.
Diferenças entre homens e mulheres autistas
O estudo identificou um perfil específico de diferenças entre os sexos em pessoas autistas e não autistas. Esses dados podem estar relacionados à hipótese de que mulheres autistas sem deficiência intelectual apresentam melhores habilidades para lidar com demandas do cotidiano.
Contudo, os resultados variam entre estudos. Por isso, é necessário cautela antes de tirar conclusões definitivas.
Ainda assim, os dados reforçam a importância de investigar diferenças entre homens e mulheres no autismo, especialmente para compreender melhor as características específicas das mulheres autistas.
Conclusão
O estudo de Lacroix e colaboradores (2024) contribui para:
Esses resultados indicam caminhos relevantes para pesquisas futuras.
Referência
LACROIX, A. et al. Cognitive flexibility in autism: how task predictability and sex influence performances. Autism Research, [s. l.], v. 18, n. 2, p. 281–294, 2024. Disponível em: https://onlinelibrary.wiley.com/doi/pdf/10.1002/aur.3281. Acesso em: 10 maio 2025.
O autismo é uma deficiência? A percepção de pessoas adultas autistas em Quebec
O Transtorno do Espectro Autista (TEA) foi, por muito tempo, descrito como um conjunto de déficits. Expressões como “pessoa com TEA” tendem a destacar o transtorno e não, a pessoa. Essa visão negativa do autismo, no entanto, começa a mudar.
O estudo de Normand e colaboradores (2025) entrevistou quatorze adultos autistas que falam francês em Quebec (província do Canadá). A pesquisa analisou como essas pessoas compreendem o autismo e a deficiência, além de investigar se consideram o autismo uma deficiência.
Os participantes afirmaram que o autismo não é uma doença e não exige cura. Também relataram que não o entendem como uma deficiência. Ainda assim, pessoas autistas frequentemente se sentem em situação de deficiência devido às suas diferenças em relação ao padrão social dominante.
“Pessoas que controlam como o ambiente é construído têm determinadas necessidades e constroem esse ambiente para atender às próprias necessidades e não, às necessidades de certas minorias. E quando uma pessoa tem necessidades que não são atendidas pelo ambiente existente, ela está em uma situação de deficiência. Gosto muito do termo ‘situação de deficiência’ porque ele coloca a deficiência na situação, e não na pessoa.”
“Se uma pessoa tem determinados recursos, ou se são feitas acomodações ou adaptações no ambiente (especialmente no trabalho), então o autismo não é uma deficiência.”
“Eu tenho uma deficiência porque não estou adaptada a esta sociedade. E a sociedade não muda para nos aceitar; somos nós que precisamos usar uma máscara, que precisamos nos encaixar no molde da sociedade… É a sociedade que reflete em mim a imagem de uma pessoa com deficiência, mas, para mim, eu não tenho uma deficiência.”
O estudo permitiu definir o autismo a partir da perspectiva de pessoas autistas. Os resultados mostram que as características específicas da neurominoria autista, quando inseridas em um ambiente neurotípico, geram desafios. Em determinadas situações, esses desafios fazem com que essas pessoas se sintam em condição de deficiência.
Segundo as pessoas que participaram do estudo, a deficiência é situacional. Ela surge da interação entre fatores pessoais – como as características do autismo – e as condições do ambiente.
Uma sociedade que reconhece a neurodiversidade pode reduzir o estigma associado às situações de deficiência vivenciadas por pessoas autistas, no Quebec e em outros contextos. A inclusão social efetiva e a realização pessoal de pessoas autistas e de outras pessoas neurodivergentes dependem de adaptações no ambiente físico, mas, sobretudo, da mudança de perspectivas e das interações sociais ao longo da vida.
Adaptações específicas ampliam a inclusão de pessoas autistas. E o movimento da neurodiversidade pode ter papel relevante na redução da discriminação enfrentada por essas pessoas.
Referência
NORMAND, C. L. et al. Is autism a idsability? The perception of autistic adults in Quebec. Neurodiversity, [s. l.], v. 3, p. 1–10, 2025. Disponível em: https://journals.sagepub.com/doi/10.1177/27546330251328438. Acesso em: 3 fev. 2026.
Uma análise conceitual da camuflagem autista: compreendendo a narrativa do estigma e a ilusão da escolha
Por que esse tema é importante?
A camuflagem autista é um tema complexo. Hoje entendemos que camuflagem inclui atitudes como fazer contato visual mesmo quando isso causa desconforto ou evitar falar sobre seus próprios interesses por receio de parecer “esquisita”.
Ainda sabemos pouco sobre esse fenômeno. Mesmo assim, precisamos estudá-lo porque acreditamos que a camuflagem pode prejudicar a saúde e o bem-estar de pessoas autistas.
Qual foi o propósito deste artigo?
O artigo analisou as explicações atuais sobre camuflagem e buscou identificar o que ainda falta entender sobre o tema.
Qual é a conclusão do artigo?
De forma geral, Pearson e Rose (2021) afirmam que a pesquisa sobre camuflagem precisa considerar as pessoas autistas de outro modo.
Pessoas autistas crescem em um ambiente social marcado por visões negativas sobre o autismo e sobre quem é autista. Esse contexto pode gerar traumas e influenciar o desenvolvimento da camuflagem.
Os autores também contestam a ideia de que a camuflagem seja um comportamento “feminino”. Essa visão sugere a existência de um subtipo “específico feminino” de autismo, o que pode dificultar o diagnóstico de pessoas que não se encaixam nesse padrão — como pessoas não binárias, homens, e mulheres que não correspondem aos critérios atuais.
Segundo os autores, é necessário reconhecer que o autismo não corresponde a um único “tipo” de pessoa. Por isso, precisamos separar as ideias sobre camuflagem das ideias baseadas em estereótipos.
Pearson e Rose propõem considerar a camuflagem como um construto multidimensional e interativo. Os autores defendem que a pesquisa precisa se apoiar em teorias sociais, que reconhecem a influência do ambiente social e das normas coletivas na vida da pessoa autista. Essa abordagem reconhece que pessoas autistas são seres sociais e não se desenvolvem isoladamente.
Os autores também sugerem que a camuflagem seja vista como um processo. Eles comparam esse processo à formação de uma rocha: o que observamos é apenas a superfície, como o contato visual forçado ou a imitação de expressões faciais. Porém, essas estratégias são resultado de pressões e camadas acumuladas ao longo do tempo.
O que Pearson e Rose (2021) recomendam para futuras pesquisas?
Embora a camuflagem seja chamada de “estratégia social”, ainda há pouca aplicação de teoria social nesse campo de estudo. Os autores recomendam que pesquisadores usem teorias sobre:
Essas teorias podem esclarecer por que pessoas autistas camuflam seus traços.
Os autores também enfatizam que a camuflagem nem sempre é consciente ou voluntária. Por isso, sugerem investigar:
Os autores incentivam mais estudos sobre identidade autista. Também recomendam analisar como gênero, raça, etnia e outras condições influenciam a necessidade de camuflar — e como isso pode ocorrer com mais ou menos intensidade, ou de modos diferentes, entre as pessoas.
Como essa análise pode ajudar pessoas adultas autistas agora e no futuro?
Pearson e Rose (2021) esperam que sua análise ajude pesquisadores a compreender que alguns aspectos da camuflagem são específicos das pessoas autistas. No entanto, outros aspectos se parecem com formas de “fingir ser normal” usadas por pessoas socialmente excluídas para tentar se adaptar.
A expectativa é que essas reflexões aumentem o entendimento sobre a camuflagem e incentivem pesquisas que melhorem a qualidade de vida de pessoas autistas.
Referência
PEARSON, A.; ROSE, K. A conceptual analysis of autistic masking: understanding the narrative of stigma and the illusion of choice. Autism in adulthood, [s. l.], v. 3, n. 1, p. 52–60, 2021. Disponível em: https://pmc.ncbi.nlm.nih.gov/articles/PMC8992880/. Acesso em: 9 out. 2025.
Saúde física em autistas
Contexto
Pesquisas mostram que pessoas adultas autistas costumam ter mais problemas de saúde física do que pessoas adultas não autistas. Elas também relatam piores experiências no atendimento médico e maior risco de morte. Mas muitos estudos eram feitos só em jovens (até 35 anos) ou em locais geográficos específicos.
O estudo de Ward e colaboradores (2023) quis responder a duas perguntas:
Como o estudo foi feito
Principais resultados
Pessoas autistas tiveram mais condições de saúde não-transmissíveis em quase todos os órgãos, como:
Diferenças muito grandes foram vistas em sintomas neurológicos e gastrointestinais.
A Síndrome de Ehlers-Danlos (SED) apareceu mais em mulheres autistas do que em mulheres não autistas.
A doença celíaca também foi mais comum em pessoas autistas, mas esse dado ficou menos certo quando foi considerado o histórico familiar.
Limitações do estudo
Conclusão
Pessoas autistas têm mais chances de ter várias doenças físicas ao mesmo tempo do que pessoas não autistas. Por isso:
WARD, J. H. et al. Increased rates of chronic physical health conditions across all organ systems in autistic adolescents and adults. Molecular Autism, [s. l.], v. 14, n. 1, p. 1–20, 2023. Disponível em: https://molecularautism.biomedcentral.com/articles/10.1186/s13229-023-00565-2. Acesso em: 25 set. 2025.
Repensando estereotipias no autismo
Movimentos estereotipados (“estereotipias”) são movimentos repetitivos semivoluntários que constituem uma característica clínica proeminente do espectro do autismo. São descritos em relatos em primeira pessoa por autistas como relaxantes, que ajudam a focar a mente e lidar com ambientes sensoriais avassaladores.
Geralmente é recomendado evitar técnicas que busquem suprimir as estereotipias em autistas. As autoras hipotetizam que compreender a neurobiologia das estereotipias poderia orientar o desenvolvimento de tratamentos capazes de proporcionar os benefícios das estereotipias sem a necessidade de gerar movimentos motores repetitivos.
O artigo relaciona relatos em primeira pessoa e achados clínicos com neuroanatomia e fisiologia básicas para produzir um modelo testável das estereotipias. As autoras indicam que as estereotipias melhoram o processamento sensorial e a atenção ao regular os ritmos cerebrais, seja diretamente pelo comando motor rítmico, ou por meio do feedback sensorial rítmico gerado pelos movimentos.
Por que a prática de movimentos estereotipados é tão comum na população geral e, em particular, em autistas? As autoras hipotetizam que o sinal cerebral rítmico gerado para criar o movimento e/ou o feedback sensorial rítmico produzido pelo movimento sincroniza os ritmos cerebrais para melhorar o processamento da informação.

Figura 1. Papel hipotetizado das estereotipias motoras na normalização dos ritmos cerebrais em áreas de processamento sensorial.
A. Caso 1: cópia eferente típica. 1. O centro de comando motor gera um sinal rítmico. 2. Áreas sensoriais são sincronizadas ao ritmo do comando via caminho direto. 3. Como o sinal rítmico também é enviado às áreas motoras efetoras, um movimento rítmico (a estereotipia) é gerado como um “efeito colateral”. 4. O movimento estereotipado/rítmico produz uma experiência sensorial rítmica. 5. A experiência sensorial rítmica modula os ritmos cerebrais nas áreas sensoriais (“caminho indireto”).
B. Caso 2: cópia eferente atípica. 1. O centro de comando motor gera um sinal rítmico. 2. Como os axônios ramificados não se formaram de maneira típica, ou funcionam de maneira atípica, esse sinal de comando motor não é transmitido diretamente às áreas sensoriais. 3. O sinal rítmico é enviado às áreas motoras efetoras e um movimento rítmico (a estereotipia) é gerado. 4. O movimento estereotipado/rítmico produz uma experiência sensorial rítmica. 5. A experiência sensorial rítmica modula os ritmos cerebrais nas áreas sensoriais (“caminho indireto”).
As autoras concluem que estereotipias são uma característica pouco compreendida do autismo. Elas esperam que a compreensão da anatomia e fisiologia das estereotipias motoras possa reduzir seu estigma e desenvolver formas de aproveitar seus benefícios para ajudar pessoas autistas e não-autistas.
MCCARTY, M. J.; BRUMBACK, A. C. Rethinking stereotypies in autism. Seminars in Pediatric Neurology, [s. l.], v. 38, p. 100897, 2021. Disponível em: https://www.sciencedirect.com/science/article/pii/S1071909121000255. Acesso em: 23 ago. 2025.
Quais são as experiências e percepções de docentes autistas?
Muitos estudos já investigaram a educação de crianças e jovens autistas, além dos direitos de pessoas adultas autistas no mercado de trabalho. Mas pouco se sabe sobre professores(as) autistas.
Uma pesquisa online no Reino Unido (Wood; Happé, 2023) reuniu 149 profissionais da educação autistas, incluindo docentes e demais funcionários(as) de escolas, que relataram:
Essas dificuldades atrapalham tanto entrar na profissão quanto permanecer nela.
Apesar disso, surgiram também experiências positivas. Do ponto de vista da justiça social, docentes autistas podem ser modelos importantes para estudantes autistas e ajudar na inclusão escolar.
Muitos disseram que gestores escolares não entendem o autismo nem fazem ajustes necessários. Esse foi um dos motivos para deixarem a profissão.
O ambiente físico da escola causa sobrecarga sensorial:
Isso gera exaustão ao fim do dia e até crises (meltdowns).
A falta de apoio e os problemas do ambiente aumentaram os casos de:
Algumas pessoas desistiram da profissão por considerarem o trabalho “desgastante e destrutivo”.
Docentes que trabalhavam com educação especial relataram frustração ao ver o tratamento inadequado dado a estudantes autistas. Isso também levou algumas pessoas a deixarem a área.
Muitas pessoas relataram que ser autista as ajudam a:
A pesquisa mostra uma lacuna importante: faltam estudos sobre docentes autistas.
Mesmo com leis de proteção a pessoas com condições diversamente hábeis que trabalham, a realidade mostra que esses(as) profissionais ainda não recebem apoio suficiente. Isso representa uma perda de potencial humano.
A inclusão escolar só será completa se também houver inclusão para profissionais autistas.
É preciso:
Quando bem apoiadas, essas pessoas podem:
A falta de pesquisas sobre trabalhadores(as) autistas em escolas representa uma lacuna significativa na área, que este estudo começa a abordar. Embora algumas questões, como dificuldades de comunicação e lidar com complexidades sociais, bem como aspectos positivos relacionados ao espectro autista como atenção aos detalhes, persistência e forte ética de trabalho, tenham sido destacadas na literatura mais ampla sobre autismo e emprego (Scott et al., 2017; Vincent, 2020), há escassez de estudos aprofundados sobre a natureza única do ambiente escolar.
Isso acontece apesar de pesquisas consideráveis sobre as dificuldades enfrentadas por crianças autistas nas escolas (Ashburner, Ziviani e Rodger, 2008; 2010; Brede et al., 2017) e dos direitos bem estabelecidos de trabalhadores(as) com condições diversamente hábeis (ADA 1990; CRPD [UN DESA] 2006; Autism Act 2009; Equality Act 2010). Aparentemente, a legislação isoladamente não tem possibilitado o florescimento de trabalhadores(as) autistas, resultando em “uma grande deficiência e um desperdício de potencial humano” (Hendricks, 2010, 131).
Como esperar incluir efetivamente estudantes com condições diversamente hábeis se não apoiamos a condição, diversidade e inclusão no corpo escolar? Além disso, o estudo revela a necessidade de maior consideração às necessidades de professores(as) autistas em programas de formação e da oferta de orientações para líderes escolares sobre como apoiar trabalhadores(as) neurodivergentes em todas as equipes. A preocupação com os custos da população autista e o foco nas limitações em relação ao emprego têm feito com que o potencial e as necessidades específicas de profissionais autistas recebam atenção limitada (Richards, 2012; Moore, Kinnear e Freeman, 2020).
De forma animadora, o estudo de Wood e Happé (2023) indica que, quando educadores(as) autistas são compreendidos(as) e apoiados(as), podem oferecer uma contribuição única às escolas, facilitando a inclusão de estudantes com NEED, sendo modelos para estudantes autistas e fornecendo expertise em diversas disciplinas e funções. Devemos, portanto, fazer mais para compreender, apoiar e viabilizar o recrutamento, a formação, o desenvolvimento profissional e o bem-estar dessa importante, mas até então negligenciada, população.
WOOD, R.; HAPPÉ, F. What are the views and experiences of autistic teachers? Findings from an online survey in the UK. Disability and Society, [s. l.], v. 38, n. 1, p. 47–72, 2023. Disponível em: https://ndconnection.co.uk/resources/p/what-are-the-views-and-experiences-of-autistic-teachers. Acesso em: 22 ago. 2025.
Preditores do uso de medicamentos psicotrópicos em pessoas autistas adultas
Objetivo
Nenhum tratamento com medicamento psicotrópico tem efeito comprovado sobre os sinais centrais do autismo. O estudo retrospectivo de Mahé et. al (2025) buscou identificar quais fatores demográficos, diagnósticos e funcionais estão associados ao uso de psicotrópicos em pessoas autistas adultas.
Método
Foram analisados 391 prontuários de pessoas adultas (idade média: 28,2 ± 9,6 anos) atendidas no Centre de Ressources Autisme Centre Val de Loire. Participantes formaram três grupos:
Foi utilizada análise de regressão logística multinomial para identificar fatores relacionados ao uso de medicamentos psicotrópicos.
Resultados
Conclusão
O uso de psicotrópicos em pessoas autistas é semelhante ao observado em condições como esquizofrenia ou Transtorno do Déficit de Atenção e Hiperatividade, para as quais esses medicamentos são aprovados. Os principais preditores de uso de medicamentos psicotrópicos em pessoas adultas autistas foram:
O número elevado de pessoas autistas que ingerem muitos medicamentos preocupa, pois há poucas evidências sobre a eficácia desses tratamentos para o autismo e seus efeitos colaterais podem ser importantes. Em alguns casos complexos, combinar medicamentos com mecanismos diferentes, ou usar um segundo medicamento para reduzir efeitos colaterais, pode ajudar.
Essa abordagem pode permitir sinergia terapêutica e fornecer uma resposta mais adequada às necessidades de pacientes, especialmente na presença de condições concomitantes, como ansiedade severa, distúrbios do sono, transtornos de humor, epilepsia, comportamentos autoagressivos ou comportamentos heteroagressivos. Mas essa prática deve ser exceção, pois muitas vezes a polimedicação é excessiva em pessoas autistas, às vezes sem indicações clínicas claras ou acompanhamento adequado, especialmente em pessoas autistas não verbais.
Na maioria dos casos, intervenções não medicamentosas são mais adequadas. Toda prescrição de medicamentos deve ser:
É urgente desenvolver novas intervenções psicoeducacionais e ambientais adaptadas a esses perfis específicos, evitando prescrições desnecessárias e os riscos da ingestão de vários medicamentos. O acesso limitado a profissionais treinados leva médicos a prescreverem medicamentos por falta de alternativa. Ampliar o acesso a apoios comportamentais e psicoeducacionais deve ser prioridade de saúde pública, para que o uso de medicamentos seja apenas a segunda opção, seguindo diretrizes técnicas. É essencial investir em pesquisas sobre autismo para criar tratamentos mais específicos e eficazes, alinhados à medicina personalizada, considerando a grande diversidade dessa população.
Por fim, o estudo de Mahé et. al (2025) demonstra que a coocorrência de DID, idade avançada, epilepsia, transtornos de ansiedade e humor e transtornos comportamentais externalizantes predizem o uso de medicamentos psicotrópicos em pessoas adultas autistas. A prevalência e os preditores de polimedicação nesse grupo levantam preocupações, enfatizando a necessidade de desenvolver novos apoios psicoeducacionais e promover tratamentos mais direcionados e eficazes.
MAHÉ, O. et al. Predictors of psychotropic medication use among autistic adults. Journal of Autism and Developmental Disorders 2025, [s. l.], p. 1–12, 2025. Disponível em: https://link.springer.com/article/10.1007/s10803-025-06966-x. Acesso em: 10 ago. 2025.
Abordagens mais atuais para apoiar pessoas adultas autistas
O que mudou na forma de entender o autismo?
Nos últimos 10 anos, muita coisa mudou no que sabemos sobre o autismo.
Antes, autismo era visto como um distúrbio grave da infância, geralmente associado a dificuldades intensas de linguagem e pensamento.
Hoje, sabemos que:
Como pessoas autistas têm ajudado a mudar a forma de pensar sobre o autismo?
Muitas pessoas adultas autistas têm pedido que o autismo não seja mais visto como uma doença ou um defeito.
Elas dizem que o autismo é uma forma de diversidade humana — o que chamamos de neurodiversidade.
Por isso, estão questionando intervenções que tentam “corrigir” o autismo. Em vez disso, propõem que o foco seja nos fatores do ambiente (sociais, físicos e emocionais) que afetam o bem-estar.
Hoje, muitas pesquisas e intervenções são feitas em parceria entre pessoas autistas e não autistas, para criar soluções que realmente façam sentido para quem é autista.
Qual o principal desafio para pessoas adultas autistas?
Em geral, não é o autismo em si que mais dificulta a inclusão social.
O problema maior é a saúde mental.
Pessoas autistas têm mais chances de desenvolver:
Problemas de saúde física também são mais comuns, o que aumenta o risco de morte precoce.
Quais fatores afetam o bem-estar?
Muitas pessoas adultas autistas enfrentam dificuldades como:
Tudo isso piora a saúde mental.
Como as terapias psicológicas podem ajudar?
Algumas técnicas se mostraram úteis, como:
Essas abordagens ajudaram a reduzir ansiedade, obsessões, sintomas depressivos e fobia social.
Mas:
E sobre o treino de habilidades sociais?
Alguns estudos mostram melhora na compreensão emocional e na convivência com outras pessoas.
Outros não mostram melhora significativa.
Críticos dizem que esses programas focam só na pessoa autista, e não consideram que a interação social envolve a forma como as outras pessoas percebem e tratam quem é autista.
Quais abordagens têm sido usadas?
Alguns programas ajudam pessoas autistas a:
Essas ações podem:
Empregos com apoio especializado também ajudam a manter as pessoas no trabalho, com melhores salários e mais satisfação.
Esses programas ensinam empregadores a criar ambientes de trabalho amigáveis para pessoas autistas.
Quais são os desafios?
Mesmo em países ricos, o acesso a programas especializados ainda é limitado.
Depois que o programa termina, muitos serviços somem.
Algumas pessoas autistas também relatam que os programas não consideram seus objetivos pessoais.
Faltam pesquisas grandes e bem feitas para descobrir:
O que mais pode afetar o bem-estar de pessoas adultas autistas?
Outros obstáculos importantes incluem:
Essas dificuldades podem ser melhoradas com mudanças no ambiente e educação da sociedade, e não tentando mudar a pessoa autista.
O que falta para atender melhor as mulheres autistas?
Mulheres autistas precisam de mais atenção. Seus sinais de autismo podem ser diferentes dos homens.
Elas também precisam de serviços adaptados durante:
E as pessoas autistas com maior nível de dependência?
Cerca de 30% das pessoas autistas também têm:
Essas pessoas correm mais risco de sofrer abusos, discriminação e exclusão social.
Alguns estudiosos propuseram o termo “autismo profundo” para destacar as pessoas com necessidades mais intensas de apoio.
Esse termo é criticado por parte do movimento da neurodiversidade, mas ajuda a mostrar que algumas pessoas adultas vivem situações muito graves.
O que pode ser feito?
É urgente:
O que é um cuidado de qualidade?
Segundo pesquisadores autistas, um bom atendimento para pessoas adultas deve incluir:
Cada pessoa tem necessidades diferentes.
Por isso, o apoio deve ser personalizado e disponível ao longo de toda a vida.
Considerações finais
Este texto mostra que o cuidado com pessoas adultas autistas precisa mudar.
Mais do que mudar quem é autista, é preciso mudar o ambiente e a forma como a sociedade se relaciona com essas pessoas.
Elas devem participar da construção das políticas e serviços que lhes dizem respeito.
HOWLIN, P. Changing approaches to interventions for autistic adults. World Psychiatry, [s. l.], v. 24, n. 1, p. 131–132, 2025.
Pessoas autistas adultas evitam a imprevisibilidade na tomada de decisão
A tomada de decisão em condições imprevisíveis pode causar desconforto em autistas devido à sua preferência por previsibilidade. Dificuldades na tomada de decisão também podem estar associadas à desregulação dos hormônios sexuais e do estresse.
Este estudo prospectivo e transversal de Macchia et. al (2024) investigou a tomada de decisão em 32 participantes autistas (14 mulheres) e 31 participantes não autistas (20 mulheres), com idades entre 18 e 64 anos. A Tarefa do Jogo de Iowa (IGT) e a Tarefa de Risco de Cambridge (CRT) foram utilizadas para avaliar a tomada de decisão sob ambiguidade e sob risco com probabilidades de resultado conhecidas, respectivamente. Os níveis séricos de cortisol, estradiol e testosterona foram relacionados ao desempenho nas tarefas.
Os grupos não diferiram no desempenho geral na IGT e na CRT, mas, em comparação aos participantes não autistas, os participantes autistas preferiram baralhos menos lucrativos, porém com resultados previsíveis, evitando aqueles com desfechos imprevisíveis. Participantes autistas também precisaram de mais tempo para tomar decisões em comparação aos participantes não autistas. Além disso, participantes autistas sem depressão coocorrente tiveram desempenho significativamente inferior aos participantes não autistas na IGT.
As concentrações de estradiol e cortisol foram preditores significativos dos escores na CRT entre os participantes não autistas, mas não entre os participantes autistas. Os resultados do estudo sugerem que participantes autistas são “aversos ao risco” na tomada de decisão sob ambiguidade, evitando opções com perdas imprevisíveis quando comparados aos participantes não autistas.
Os achados de Macchia et. al (2024) ressaltam a intolerância à incerteza, especialmente em situações ambíguas. Assim, esses(as) pesquisadores(as) recomendam que, ao interagir com autistas, seja adotada uma comunicação o mais transparente e precisa possível. Pesquisas futuras devem explorar a tomada de decisão em situações sociais entre autistas, considerando variáveis individuais como a depressão.
MACCHIA, A. et al. Autistic adults avoid unpredictability in decision-making. Journal of Autism and Developmental Disorders, [s. l.], p. 1–13, 2024.
Pesquisa destaca dificuldades de pessoas autistas e trans no acesso à saúde
O conteúdo a seguir, do artigo de Bruce, Munday e Kapp publicado em 2023, foi traduzido e adaptado para a Linguagem Simples com a inteligência artificial GRALHA, de Márcia Ditzel Goulart.
O que é o estudo?
A pesquisa investigou as experiências de pessoas adultas que são autistas e também transgênero e/ou não binárias no acesso a serviços de saúde voltados para identidade de gênero (Gender Identity Health Care – GIH).
Este tipo de atendimento inclui:
Por que este tema é relevante?
Estudos mostram que tanto pessoas autistas quanto pessoas de gênero diverso enfrentam barreiras semelhantes no sistema de saúde, como:
Garantir acesso adequado e respeitoso é um direito e uma necessidade urgente.
Como a pesquisa foi realizada?
A pesquisadora Harley Bruce, cisgênero e não autista, desenvolveu o estudo com colaboração de Katie Munday, pesquisador(a) autista e transgênero. Foram entrevistadas 17 pessoas autistas e trans para mapear:
Principais resultados
Recomendações dos(as) participantes do estudo
Contribuições para políticas públicas
O estudo oferece insumos para a formulação de políticas de saúde mais inclusivas, destacando a importância de:
Limitação do estudo
A maioria dos participantes era branca, falava inglês e foi recrutada online. Assim, os resultados não representam toda a diversidade de pessoas autistas e trans.
Instituições públicas e profissionais de saúde podem se beneficiar das recomendações deste estudo ao revisar práticas e políticas de atendimento. O compromisso com a inclusão começa pela escuta e pelo reconhecimento das necessidades reais das pessoas.
Fonte: BRUCE, Harley; MUNDAY, Katie; KAPP, Steven K. Exploring the experiences of autistic transgender and non-binary adults in seeking gender identity health care. Autism in Adulthood, [s. l.], v. 5, n. 2, p. 191–203, 2023. Disponível em: /doi/pdf/10.1089/aut.2023.0003?download=true. Acesso em: 18 jun. 2025.
Flow autístico
O seguinte conteúdo do artigo de Heasman e colaboradores (2024) foi adaptado do texto gerado pela inteligência artificial Gralha (Gerador de Respostas e Apoio em Linguagem Humanizada e Acessível), criada por Marcia Ditzel Goulart.
O que é o estado de fluxo ou flow?
O flow acontece quando alguém está totalmente concentrado em uma atividade. A pessoa sente prazer e motivação, perdendo a noção do tempo.
Existe relação entre flow e autismo?
Sim. Algumas pessoas autistas relatam experiências parecidas com o estado de flow em suas atividades do dia a dia. Pesquisadores compararam esses relatos com a teoria do flow para melhorar a compreensão da teoria do flow autístico.
Por que isso importa?
Essa comparação ajuda a entender o autismo sem usar uma visão negativa ou patologizante, já que autismo não é doença. Também mostra que muitos comportamentos fazem sentido no contexto da pessoa autista (alinhamento entre a situação e o que está acontecendo na mente daquela pessoa).
O que os relatos mostram?
Com base em relatos de autistas, os pesquisadores identificaram quatro pontos importantes:
Quais são os impactos?
A teoria do flow autístico pode trazer benefícios como:
HEASMAN, Brett et al. Towards autistic flow theory: a non-pathologising conceptual approach. Journal for the Theory of Social Behaviour, [s. l.], 2024. Disponível em: Acesso em: 22 maio 2025.
Adaptando a comunicação com usuários de serviços que atendem autistas: adaptações coproduzidas para serviços de saúde, empregadores e para o terceiro setor
Autistas precisam acessar vários serviços, como os relacionados à saúde, à assistência social e à justiça. No entanto, pesquisas com autistas e com seus cuidadores identificaram diversas barreiras na tentativa de acessar esses serviços, incluindo a falta de compreensão do autismo, a relutância em fazer adaptações e as dificuldades de comunicação.
O estudo de Norris, Lei e Maras (2024) teve como objetivo desenvolver com autistas adaptações práticas e baseadas em evidências para facilitar a comunicação entre prestadores de serviços e autistas.
Com base em uma revisão de evidências publicadas em pesquisas atuais, uma lista inicial de adaptações foi desenvolvida, dividida em quatro categorias: (1) adaptar o ambiente para reduzir os estressores sensoriais, (2) facilitar a divulgação do diagnóstico de autismo (quando desejado), (3) adaptar a comunicação e (4) adaptar a informação visual/escrita.
Em segundo lugar, foi ministrada uma oficina (workshop) com a participação de autistas para prestadores de serviços, ajustando essas adaptações aos seus setores. Uma grande amostra da comunidade autística também avaliou essas adaptações e teve a chance de fazer suas próprias sugestões.
Os prestadores de serviços que participaram da oficina sentiram-se mais confiantes trabalhando e se comunicando com autistas, demonstraram maior conhecimento sobre o autismo e implementaram diversas adaptações em seus serviços. Os resultados da pesquisa envolvendo a comunidade autística indicaram que houve concordância sobre a utilidade das adaptações realizadas, sugerindo adaptações adicionais que gostariam que também fossem oferecidas pelos prestadores de serviços.
Os resultados do estudo de Norris, Lei e Maras (2024) demonstram que as adaptações que autistas consideram úteis podem ser implantadas em serviços distintos. Isso ajudará não somente autistas, mas também seus cuidadores no acesso de serviços cruciais e permitirá que os provedores de serviços ofereçam um atendimento eficaz a essas pessoas.
NORRIS, Jade Eloise; LEI, Jiedi; MARAS, Katie. Adapting communication with autistic service users: co-produced adaptations for medical services, employers, and the third sector. Neurodiversity, [s. l.], v. 2, p. 1–16, 2024. Disponível em: /doi/pdf/10.1177/27546330241266723?download=true. Acesso em: 6 maio 2025.
Um mundo desafiador e imprevisível para autistas
O autismo é uma condição neurodesenvolvimental generalizada, caracterizada por comprometimento da comunicação e da interação social, bem como por altos níveis de comportamentos repetitivos e ritualísticos. Esta última dimensão resulta em grandes dificuldades na vida diária: relatos clínicos de indivíduos com Transtorno do Espectro do Autismo (TEA) mostram que essas pessoas apresentam crises como resposta à mudança, ou interesses restritos e comportamentos repetitivos para prevenir ou minimizar a mudança. Essa necessidade crucial de manter a invariabilidade sugere diferenças substanciais na forma como o cérebro autístico prevê o ambiente e isso pode ter um papel fundamental no déficit revelado em um mundo social altamente imprevisível.
Várias linhas de evidência indicando dificuldades na geração ou no uso de previsões no TEA devido ao processamento de informações de autistas são apresentadas na revisão de Gomot e Wicker (2012). Por exemplo, diversos estudos revelaram que autistas demonstram um perfil único de habilidades cognitivas, com estratégias que dependem em grande parte dos sistemas sensoriais, em detrimento de um processamento mais integrativo, que requer uma consciência das sutilezas contextuais necessárias para a previsão. Em um nível mais elementar, autistas manifestam processamento incomum de eventos imprevisíveis, o que pode estar enraizado em uma diferença básica na forma como o cérebro se orienta em relação à mudança, incluindo novos estímulos sensoriais.
A revisão de literatura de Gomot e Wicker (2012) apresenta resultados de estudos que utilizaram técnicas de neuroimagem usadas para estudar a atividade cerebral, como Potenciais Relacionados a Eventos e Ressonância Magnética Funcional, ilustrando os mecanismos psicofisiológicos e as bases neurais subjacentes a tais fenômenos no TEA. Os autores propuseram que tal disfunção na capacidade de construir previsões flexíveis no TEA pode se originar de uma influência descendente prejudicada sobre uma variedade de processamento de informações sensoriais e de nível superior, uma hipótese fisiopatológica que se encaixa em teoria de conectividade cortical.
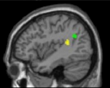
Durante uma tarefa auditiva ativa, pesquisa citada na revisão de Gomot e Wicker publicada em 2012 (Gomot et al., 2008) demonstrou ativação aumentada das regiões parietal inferior e pré-frontal em autistas em resposta a novos alvos (o Lóbulo Parietal Inferior, segundo pesquisa publicada em 2004 por Jaaskelainen e colaboradores, estaria envolvido no controle pré-atencional que determina a extensão em que novos estímulos não atendidos são conscientemente percebidos pela pessoa). Curiosamente, utilizando a mesma sequência auditiva, mas apresentada em condições passivas, descobriu-se que o Lóbulo Parietal Inferior foi hipoativado em crianças autistas em resposta a novos estímulos, enquanto essa mesma região foi hiperativada durante condição ativa, de acordo com outra pesquisa (Gomot et al., 2006) citada na revisão dos dois autores (figura 1, a seguir).
Figura 1. Imagem de pesquisa de Gomot et al. (2006) que abordou a detecção de alterações relacionadas a eventos auditivos por crianças autistas

Fonte: Gomot e Wicker (2012, p. 243).
A figura 1 ilustra que a atividade atípica do Lóbulo Parietal Inferior esquerdo associada à detecção de novidades em crianças autistas depende da instrução (condições expressando novo estímulo não atendido e atendido são sinalizadas com cores diferentes).
O poder das previsões reside no fato de termos a capacidade de antecipar alguns aspectos específicos do contexto, aos quais não precisamos dedicar tanta atenção, e, portanto, permanecermos com os recursos necessários para explorar nosso ambiente em busca de novidades com as quais possamos aprender e de surpresas que devemos evitar, de acordo com o artigo publicado por Bar em 2009 citado na revisão de Gomot e Wicker (2012).
Com base em evidências de Potenciais Relacionados a Eventos, Ressonância Magnética Funcional e estudos de conectividade cerebral, Gomot e Wicker (2012) propuseram que a neurofisiologia do TEA pode ser caracterizada por comprometimento na capacidade de construir previsões flexíveis. Essa incapacidade de esperar novos estímulos sensoriais e eventos pode levar a dificuldades na percepção e nas funções executivas, como flexibilidade e planejamento. Déficits na previsão também podem explicar diferenças conhecidas nos padrões de processamento de informações locais e globais e levar a uma coerência central fraca.
Comportamentos e interesses restritos e repetitivos, assim como rituais e rotinas podem ter significado adaptativo, como compensar a falha em prever eventos e regular a incerteza preservando-se a invariabilidade. No TEA, a disfunção da previsão baseada no contexto pode prejudicar a capacidade de adaptação rápida a um mundo socioemocional em constante mudança. A incapacidade de prever o futuro relevante levaria a reações estressantes e à sensação de superestimulação, para a qual o único remédio seria evitar situações sociais complexas e focar em eventos e rotinas altamente previsíveis.
O entendimento apresentado por Gomot e Wicker em 2012 foi citado por 261 pesquisas publicadas até maio de 2025.
GOMOT, Marie; WICKER, Bruno. A challenging, unpredictable world for people with Autism Spectrum Disorder. [s. l.], 2012. Disponível em: https://www.sciencedirect.com/science/article/abs/pii/S0167876011002832?via%3Dihub. Acesso em: 9 maio 2025.
Vivenciando a independência: perspectivas de adultos autistas
Os critérios diagnósticos do autismo estão relacionados a dificuldades de funcionamento em múltiplos domínios do desenvolvimento, que frequentemente impactam a independência de uma pessoa.
Existem diferentes maneiras de conceituar e exercer a independência, mas nenhum estudo anterior questionou como adultos autistas fazem isso. O estudo qualitativo de Bhattacharya et al. (2025) teve como objetivo compreender como adultos autistas definem e vivenciam a independência.
A pesquisa foi elaborada para aprofundar nossa compreensão de como adultos autistas consideram e utilizam estratégias de enfrentamento para superar barreiras à vida independente e navegar em direção ao nível desejado de independência.
Doze entrevistas semiestruturadas foram conduzidas com adultos autistas residentes no Reino Unido. Os dados foram analisados por meio de análise temática reflexiva. Os pesquisadores geraram três temas principais. O primeiro tema, ‘Independência não é uma “solução única para todos”’, destaca que não existe uma definição ou conceito único de independência para pessoas autistas; estes são relativos e singularmente individuais. O segundo tema, ‘”Ser autista tem seus contratempos” em um mundo neurotípico’, descreve os obstáculos encontrados por adultos autistas que buscam independência em uma sociedade que favorece normas neurotípicas. O terceiro tema, “Encontrando maneiras de fazer funcionar”, aborda as estratégias que adultos autistas utilizam para alcançar ou manter a independência.
As seguintes perspectivas relacionadas à independência também foram identificadas a partir dos(as) participantes do estudo: independência – uma “necessidade” e/ou uma “escolha”; há dimensões invisíveis relacionadas à independência; impacto da saúde mental, trauma e abuso; falta de acomodação de características autísticas essenciais; vivendo à margem da exaustão e sobrecarga; não indo sozinho(a); camuflagem como uma técnica de sobrevivência; construindo pontes de empoderamento e compreensão, evitar jogar fora o bom com o mau.
Os resultados deste estudo fornecem uma base para pesquisas futuras que explorem os domínios da independência para adultos autistas. A percepção da desejabilidade de alcançar diferentes graus de in(ter)dependência e a natureza flutuante da autossuficiência são exploradas por meio da experiência vivida. Aumentar a compreensão das barreiras e desafios à independência tem o potencial de empoderar adultos autistas além de aprimorar serviços e suporte.
BHATTACHARYA, P. et al. Experiencing independence: perspectives from autistic adults. Journal of Autism and Developmental Disorders, [s. l.], p. 1–16, 2025. Disponível em: https://link.springer.com/article/10.1007/s10803-025-06812-0. Acesso em: 23 abr. 2025.
Incongruência relacional em grupos de trabalho neurodiversos: práticas para cultivar a autenticidade e o pertencimento de funcionários(as) autistas
De acordo com Longmire, Vogus e Colella (2024),
Embora muitas pesquisas tenham buscado entender como funcionários(as) chegam a se alinhar com as normas sociais e rotinas de seus grupos de trabalho, a teoria da gestão tem amplamente negligenciado a possibilidade de que tal alinhamento possa estar fundamentalmente em desacordo com o que significa ser autista.
O autismo, que responde por uma grande parcela da neurodiversidade organizacional, está associado a ver e processar o mundo de forma diferente da norma social não-autista (alística). No local de trabalho, funcionários(as) autistas frequentemente enfrentam barreiras à inclusão, em grande parte devido a diferenças fundamentais em como eles(as) interagem e se conectam com outras pessoas.
Para identificar as barreiras à inclusão de funcionários(as) autistas no grupo de trabalho, desenvolvemos uma estrutura multinível centrada em torno da incongruência relacional, que pode ser compreendida como diferenças em padrões de inter-relação entre neurotipos (relação entre pessoas autísticas e alísticas).
Propomos que normas de grupos de trabalho de pessoas alísticas (ex.: uso de linguagem imprecisa) agravam a incongruência relacional, que por sua vez dificulta experiências de autenticidade e pertencimento para o(a) membro autista do grupo de trabalho.
Finalmente, identificamos práticas gerenciais (ex.: criação de trabalho relacional) que provavelmente protegerão contra as consequências negativas da incongruência relacional ao promover climas de grupo de trabalho de variância normalizada em padrões de inter-relacionamento e entendimentos compartilhados entre pessoas autísticas e alísticas.
A seguir encontram-se considerações de Longmire, Vogus e Colella (2024) sobre o assunto:
.Falta de similaridade entre autistas e pessoas alísticas produz incongruência relacional em díades (pares) de grupos de trabalho;
.Normas de grupo de trabalho de sociabilidade multiplex (muitos elementos constituindo complexa relação) intensificam experiências de incongruência relacional em conexões entre autistas e pessoas alísticas dentro de grupos de trabalho;
.Normas de grupo de trabalho de linguagem imprecisa intensificam experiências de incongruência relacional em conexões entre autistas e pessoas alísticas dentro de grupos de trabalho;
.Normas de grupo de trabalho de comunicação intensiva agravam experiências de incongruência relacional em conexões entre autistas e pessoas alísticas dentro de grupos de trabalho;
.Diferenças em padrões de inter-relação entre pessoas autísticas e alísticas leva a uma menor autenticidade para o(a) funcionário(a) autista em pares formados por autistas e pessoas alísticas;
.Diferenças em padrões de inter-relação entre pessoas autísticas e alísticas leva a um menor pertencimento para o(a) funcionário(a) autista em pares formados por autistas e pessoas alísticas;
.Práticas gerenciais que encorajam tanto a autonomia em padrões individuais de comunicação quanto a elaboração de trabalho relacional normalizarão a variação em padrões de inter-relacionamento dentro de grupos de trabalho;
.Normalização da variação em padrões de inter-relacionamento protegerá contra o efeito negativo da incongruência relacional tanto na autenticidade quanto no pertencimento do(a) funcionário(a) autista;
.Práticas gerenciais que fomentam tanto padrões de inter-relacionamento de grupo de trabalho mais explícitos (ou seja, menos tácitos) quanto corretagem relacional (pessoas independentes que estabelecem relações entre fronteiras organizacionais ou sociais) moldarão entendimentos compartilhados entre neurotipos (ex.: pessoas autísticas e alísticas) dentro de grupos de trabalho;
.Construção de entendimento compartilhado por pessoas autísticas e alísticas protegerá contra o efeito negativo da incongruência relacional tanto na autenticidade quanto no pertencimento do(a) funcionário(a) autista.
Referência
LONGMIRE, N. H.; VOGUS, T. J.; COLELLA, A. Relational incongruence in neurodiverse workgroups: practices for cultivating autistic employee authenticity and belonging. Human Resource Management, 2024. Disponível em: https://onlinelibrary.wiley.com/doi/full/10.1002/hrm.22248. Acesso em: 30 ago. 2024.
“Não sou louca, má e perigosa… simplesmente sou conectada de forma diferente”: explorando fatores que contribuem para uma boa qualidade de vida em mulheres autistas
De acordo com Paricos et al. (2024),
Há um reconhecimento crescente da sub-representação de mulheres autistas na literatura acadêmica e do impacto disso na compreensão, diagnóstico e suporte. Pesquisas anteriores sugeriram que mulheres autistas têm pior qualidade de vida (QV) do que a população em geral. No entanto, essas descobertas foram estabelecidas por meio do uso de medidas de QV com base em normas e prioridades não-autísticas.
Este estudo qualitativo usou métodos de análise temática reflexiva bottom-up (de baixo para cima) para explorar como dez mulheres autistas definiram uma boa QV e os fatores identificados como essenciais para alcançá-la usando entrevistas individuais semiestruturadas.
As descobertas indicam quatro temas principais que representam caminhos para uma boa QV: senso positivo de si mesma; sentir-se suportada; autonomia; inclusão. Participantes notaram que ser autista em si não era um determinante da redução da QV. Em vez disso, a QV das participantes foi sustentada pela extensão em que as participantes se compreendiam, que outros entenderam e acomodaram suas necessidades e do ajuste entre a pessoa e o ambiente.
Os achados do presente estudo se alinham com uma abordagem positiva para a diferença neurológica e têm implicações para o diagnóstico, suporte pós-diagnóstico e aplicações de medidas atuais de QV para mulheres autistas.
Alguns relatos de acordo com o tema da QV investigado por Paricos et al. (2024) encontram-se a seguir:
Referência
PARICOS, A. et al. “I’m not mad, bad, and dangerous … simply wired differently”: exploring factors contributing to good quality of life with autistic women. Research in Autism Spectrum Disorders, v. 112, p. 102338, 2024.
Espaços sensoriais inclusivos para autistas: precisamos construir a base de evidências
Conforme Manning, Williams e MacLennan (2023),
Em vista dos impactos consideráveis que o processamento sensorial pode ter na saúde mental e na qualidade de vida de pessoas autistas (MACLENNAN et al., 2020; PFEIFFER et al., 2005), é encorajador ver uma literatura cada vez maior sobre o processamento sensorial autista. No entanto, até o momento, a maioria das pesquisas se concentrou nas características de processamento sensorial dos próprios indivíduos autistas (por exemplo, PROFF et al., 2022, para revisão), com muito menos consideração dos ambientes sensoriais aversivos que colocam demandas tão altas no processamento sensorial de pessoas autistas. No entanto, pessoas autistas nos disseram que os ambientes sensoriais podem ser extremamente opressivos e podem apresentar barreiras para acessar certos lugares como supermercados, restaurantes, grandes lojas, escolas e ambientes médicos (DOHERTY et al., 2022; HOWE, STAGG, 2016; MACLENNAN et al., 2022; PARMAR et al., 2021; WILLIAMS et al., 2023). Consequentemente, no Reino Unido (onde estamos sediados), a Estratégia Nacional para Crianças, Jovens e Adultos Autistas (2021–2026) visa que “muito mais empresas, serviços do setor público e diferentes partes do sistema de transporte se tornem mais inclusivos para o autismo, para que autistas possam acessar esses espaços e serviços, assim como todas as outras pessoas” (GOVERNO DO REINO UNIDO, 2021). E internacionalmente, as Nações Unidas (2022) pediram o fornecimento de espaços públicos inclusivos e acessíveis para todos até 2030, exigindo o equilíbrio de diferentes necessidades de acesso. Essas políticas reconhecem a necessidade de adaptar ambientes sensoriais para melhorar a inclusão e a saúde física e mental de autistas.
Há um número crescente de recomendações, muitas coproduzidas com autistas, para ajudar organizações e serviços a se tornarem mais acessíveis para autistas. Por exemplo, a Equipe Nacional de Desenvolvimento para a Inclusão do Reino Unido (NDTI, 2020) divulgou um relatório sobre como atender às necessidades sensoriais de jovens autistas em serviços de internação de saúde mental, e o ASPECTSS Design Index propõe sete princípios de design para melhorar o ambiente construído para autistas (MOSTAFA, 2015). Mais recentemente, a Instituição Britânica de Normas (BSI, 2022) publicou o Padrão de Design sobre Neurodiversidade e Ambiente Construído (PAS 6463), que fornece orientação sobre a criação de ambientes sensoriais inclusivos para uma variedade de grupos neurodivergentes, a fim de atender às obrigações sociais e legais.
Além dos padrões de design, iniciativas foram colocadas em prática para modificar como os espaços são usados em todo o mundo com a intenção de tornar os lugares mais inclusivos sensorialmente para autistas e outras pessoas com diferenças de processamento sensorial. Por exemplo, o cordão de girassol foi introduzido para permitir que pessoas com deficiências ocultas comuniquem que podem precisar de suporte ou tempo adicionais em locais públicos, como aeroportos (HIDDEN DISABILITIES SUNFLOWER SCHEME, n.d.). Várias grandes redes de supermercados e centros de varejo introduziram “horários de silêncio”, nos quais estímulos sensoriais são minimizados, por exemplo, desligando a música de fundo e reduzindo o volume nas máquinas de pagamento (DE LA FUENTE, WALSH, 2022). Também tem havido uma crescente oferta de espaços silenciosos designados em locais esportivos e de entretenimento (por exemplo, espaços “sensoriais amigáveis” na cidade de Surrey (s.d.), Canadá; estádios de futebol na Copa do Mundo da FIFA [El AKOUM, DYER, 2022]). No teatro, foram introduzidas “performances relaxadas”, que reduzem estímulos sensoriais e fornecem um ambiente sem julgamentos para membros autistas do público (FLETCHER-WATSON, MAY, 2018). Embora essas iniciativas sejam relativamente recentes, autistas há muito consideram esses fatores ao criar espaços autistas, como a conferência Autscape iniciada em 2005 (AUTSCAPE, 2023).
Também foram tomadas medidas para tornar cidades inteiras mais inclusivas para autistas. Clonakilty se tornou a primeira cidade “amiga do autismo” da Irlanda depois que uma série de serviços públicos, escolas e empresas fizeram mudanças para se tornarem mais inclusivas para o autismo (CLONAKILTY, n.d.). O Conselho de Blackpool no Reino Unido começou a desenvolver sua estratégia “Ambição de Blackpool para Autistas “, com a visão de adotar uma abordagem intersetorial de toda a cidade para permitir o desenvolvimento autista (CONSELHO DE BLACKPOOL, 2022). No Canadá, uma iniciativa conduzida pela comunidade levou Channel-Port aux Basques/Newfoundland a receber o status oficial de “amiga do autismo” (HOWES, 2023).
No entanto, a base de evidências empíricas para substanciar essas diretrizes e iniciativas é escassa. Pesquisas identificaram que há múltiplos fatores que precisam ser considerados ao tornar os espaços mais propícios para pessoas autistas, e estes vão muito além de apenas reduzir a entrada sensorial (DOHERTY et al., 2023; GARNER et al., 2022; MACLENNAN et al., 2022; STOGIANNOS et al., 2022). MacLennan et al. (2022) identificaram seis princípios que determinam o quão incapacitantes ou habilitadores são os ambientes sensoriais, que incluem (1) a ‘Paisagem sensorial’ (ou seja, a intensidade e a natureza dos estímulos sensoriais), (2) Restrições de espaço, (3) Previsibilidade, (4) Compreensão de outros, (5) Ajustes e (6) Oportunidade de recuperação (ver Figura 1). Muitos desses princípios são capturados em iniciativas e recomendações existentes. Por exemplo, em relação ao tema ‘Previsibilidade’, a BSI (2022) recomendou fornecer mapas sensoriais para tornar os espaços mais previsíveis, referindo-se a um exemplo do Museu de Londres/Reino Unido. Enquanto isso, em relação ao tema ‘Compreensão’, a NDTI (2020) reconheceu a necessidade de aumentar o entendimento da equipe em ambientes de internação, e o status de cidade ‘amiga do autismo’ de Clonakilty exigia treinamento da equipe em serviços, escolas e empresas. No entanto, a pesquisa de MacLennan et al. (2022) expôs que alguns ajustes não são adequados ao propósito. Por exemplo, algumas pessoas autistas disseram que os horários de silêncio em supermercados são inadequados, pois são pouco frequentes e em horários inconvenientes, e que o cordão do girassol foi frequentemente mal compreendido e não foi eficaz em dar a autistas o apoio que precisam. É importante ressaltar que as iniciativas e diretrizes de design não podem ser consideradas como realmente representando a inclusão até que autistas confirmem que se sentem incluídos(as).
Precisamos de uma base de evidências muito mais forte para impulsionar mudanças políticas e garantir que iniciativas e diretrizes sejam eficazes e benéficas para autistas. Precisamos avaliar rigorosamente o impacto das adaptações implementadas ou recomendadas na disposição de autistas irem a espaços públicos, o quão incluídos(as) eles(as) se sentem nesses espaços e sua qualidade de vida. Por exemplo, é importante testar o impacto das adaptações recomendadas para ambientes de internação de saúde mental no bem-estar e nas taxas de recuperação de autistas (WILLIAMS et al., 2023). Também é importante identificar os parâmetros específicos subjacentes aos ambientes sensoriais ideais para autistas. Por exemplo, embora os padrões visuais tenham sido identificados como desconfortáveis para muitas pessoas autistas (MACLENNAN et al., 2021; PARMAR et al., 2021), faltam pesquisas sistemáticas sobre parâmetros visuais precisos (por exemplo, níveis de contraste) que são particularmente difíceis e como isso pode variar entre pessoas autistas. Curiosamente, autistas frequentemente relatam desconforto com a iluminação LED, mas as variáveis precisas que contribuem para esse desconforto, como a taxa de oscilação, não foram determinadas empiricamente (Buro Happold e NDTI, 2021). Esta é uma questão de importância urgente, pois a iluminação LED está sendo cada vez mais adotada como uma opção ecologicamente correta. Desenvolver uma base de evidências sobre isso ajudará a projetar adaptações mais específicas e destacar quais adaptações devem ser priorizadas, garantindo, por sua vez, que as organizações implementem adaptações eficazes e adequadas.
Ao desenvolver esta base de evidências crucial, também devemos considerar a representatividade e generalização das pesquisas. Estudos sobre ambientes sensoriais e autismo têm se concentrado até agora principalmente em crianças em idade escolar e entre adultos jovens e de meia-idade (por exemplo, BLACK et al., 2022; MACLENNAN et al., 2022; NDTI, 2020; STRÖMBERG et al., 2022). A menos que incluamos uma ampla gama de pessoas, incluindo pessoas autistas mais velhas (MICHAEL, 2016) e aquelas com deficiências intelectuais, não podemos ter certeza de que os designs e adaptações funcionarão para todos(as). Como as necessidades sensoriais variam entre pessoas autistas, e até mesmo mudam no mesmo indivíduo ao longo do tempo (MACLENNAN et al., 2021), a pesquisa deve considerar como as adaptações podem ser personalizadas, em vez de serem “tamanho único” (MACLENNAN et al., 2022). Onde as adaptações não podem ser flexíveis para atender às necessidades individuais, é particularmente importante garantir que o que torna o ambiente acessível para algumas pessoas autistas não o torne inacessível para outras pessoas autistas e, além disso, que as adaptações não afetem adversamente outros grupos. É comumente assumido que as adaptações feitas para pessoas autistas também beneficiarão pessoas não autistas (WILLIAMS et al., 2023), mas essa suposição precisa ser testada empiricamente. Por exemplo, os efeitos da redução geral de sons em caixas de autoatendimento ou da redução da iluminação em supermercados precisariam ser testados cuidadosamente para garantir que essas adaptações não sejam prejudiciais a outras pessoas, como aquelas com deficiência auditiva ou visual. No entanto, é fácil ver como outras modificações, como fornecer informações antecipadas sobre ambientes sensoriais (por exemplo, fotos em um website), também podem ajudar outras pessoas, como usuários de cadeira de rodas ou pessoas com ansiedade ou demência, a navegar no espaço.
Enquanto muitas iniciativas existentes envolvem adaptações relativamente pequenas a estruturas existentes (por exemplo, horários de silêncio em supermercados), o modelo de Design Universal garante que os ambientes sejam construídos com pessoas com deficiência em mente desde o início. A aplicação dos princípios do Design Universal pode garantir que o design beneficie pessoas com diversas preferências e habilidades, em vez de restringir o foco a pessoas autistas (MILTON et al., 2017). Mais pesquisas baseadas em design, idealmente produzidas ou coproduzidas por pessoas autistas, são necessárias para permitir uma abordagem de Design Universal com autistas em mente.
Também precisamos ampliar os contextos estudados, já que pesquisas sobre autismo e o ambiente construído se concentrou principalmente em escolas e lares (BLACK et al., 2022). Mais pesquisas são particularmente necessárias em lugares que pessoas autistas gostam de frequentar, o que pode incluir espaços ao ar livre, mas também estádios, casas de espetáculos e clubes (MACLENNAN et al., 2022), e considerar as maneiras pelas quais esses lugares podem ser otimizados para as necessidades sensoriais de autistas. Outro cenário a ser considerado em pesquisas futuras é o sistema de justiça criminal. Embora autistas tenham mais probabilidade de serem vítimas de crimes do que infratores, pessoas autistas são, no entanto, super-representadas internacionalmente em todas as áreas do sistema de justiça criminal, incluindo prisões (BALDRY, 2014; CRIMINAL JUSTICE JOINT INSPECTORATE, 2021). No Reino Unido, uma recente Revisão de Inspeção Conjunta de Justiça Criminal de Evidências (CRIMINAL JUSTICE JOINT INSPECTORATE, 2021) fez uma série de recomendações para melhorar os serviços para indivíduos neurodivergentes, incluindo um apelo para criar e habilitar ambientes “favoráveis à neurodiversidade”. A resposta do Serviço Prisional e de Liberdade Condicional de Sua Majestade e do Ministério da Justiça (2023) a este relatório reconheceu que eles eram limitados pelos ambientes físicos existentes, mas que os futuros programas de construção de prisões seriam informados pelas evidências sobre esses princípios de design. Portanto, é importante construir esta base de evidências.
Igualmente é importante considerar como podemos garantir que os avanços obtidos com as pesquisas sejam traduzidos em impacto. Um desafio potencial é que pesquisas sobre ambientes sensoriais no autismo seja inerentemente interdisciplinar, abrangendo campos como arquitetura, geografia, psicologia e estudos de deficiência, bem como as políticas e iniciativas existentes em diferentes contextos geográficos não sejam díspares e desconectadas. Portanto, um esforço concentrado é necessário para conectar conhecimento e políticas entre disciplinas e contextos. Também é importante trabalhar com empresas e provedores de serviços para identificar barreiras à implementação de adaptações ao ambiente sensorial e maneiras pelas quais elas podem ser superadas, por exemplo, identificando adaptações de baixo custo (GARNER et al., 2022). Contudo, para uma mudança significativa, precisamos olhar além das empresas individuais e trabalhar em direção a mudanças no nível de políticas e mudanças sociais. Não são apenas ambientes sensoriais adversos que criam barreiras à inclusão autista, mas também a estigmatização de pessoas autistas que são sobrecarregadas por ambientes sensoriais (MACLENNAN et al., 2022). Ao construir uma base de evidências, podemos identificar as melhores maneiras de tornar os espaços mais inclusivos sensorialmente e capacitadores para pessoas autistas.
Referência
MANNING, C.; WILLIAMS, G.; MACLENNAN, K. Sensory-inclusive spaces for autistic people: we need to build the evidence base. Autism, v. 27, n. 6, p. 1511–1515, 2023. Disponível em: https://journals.sagepub.com/doi/10.1177/13623613231183541. Acesso em: 5 ago. 2024.
SPACE autístico: uma nova estratégia para atender necessidades de autistas em ambientes de saúde
Segundo Doherty, McCowan e Shaw (2023),
Autistas vivenciam disparidades significativas de saúde e expectativa de vida reduzida. Barreiras ao acesso à assistência médica e salutar estão associadas a resultados prejudiciais à saúde de autistas. O treinamento em autismo e o conhecimento dos profissionais de saúde sobre autismo são variáveis, e a heterogeneidade entre autistas leva a complexidades educacionais e clínicas adicionais.
O autismo permanece enigmático para muitos profissionais, que não têm clareza sobre diferenças de comunicação, necessidades de acesso ou experiências de vida comuns a autistas. Ambientes de assistência à saúde podem ser desafiadores para todos(as) os(as) pacientes, mas autistas podem exigir acomodações específicas para permitir um acesso equitativo.
Doherty, McCowan e Shaw (2023) desenvolveram uma estratégia simples que pode facilitar serviços clínicos com equidade em todos os pontos de acesso e atendimento, usando a sigla “SPACE” (em inglês). A sigla abrange cinco necessidades autísticas principais: necessidades Sensoriais, Previsibilidade, Aceitação, Comunicação e Empatia.
Três domínios adicionais são representados por espaço físico (necessidade de maior distanciamento para favorecer a tolerância de autistas), espaço de processamento (tempo adicional para autistas processarem novas informações ou imprevistos) e espaço emocional (para evitar sobrecarga sensorial ou emoções avassaladoras que podem levar ao colapso/meltdown ou desligamento/shutdown de autistas).
A seguir encontram-se recomendações para apoiar autistas com a proposta SPACE:
.Visão:
.Audição:
.Olfato:
.Paladar:
.Toque:
.Temperatura:
.Propriocepção:
.Interocepção e dor:
.Previsibilidade:
.Aceitação:
A sigla SPACE é simples, mas memorável, abrangendo importantes características compartilhadas por autistas.
Referência
DOHERTY, M.; MCCOWAN, S.; SHAW, S. C. K. Autistic SPACE: a novel framework for meeting the needs of autistic people in healthcare settings. British Journal of Hospital Medicine, v. 84, n. 4, 2023. Disponível em: https://pubmed.ncbi.nlm.nih.gov/37127416/. Acesso em: 26 jul. 2024.
Compreendendo as prioridades de apoio pós-diagnóstico de adultos autistas no Reino Unido: um estudo Delphi (modificado) coproduzido
Segundo Crowson et al. (2024),
Adultos autistas no Reino Unido relatam que o apoio para si mesmos(as) e para os seus pares não é adequado às suas necessidades. Ainda assim, tem havido um aumento no número de adultos que recebem diagnóstico de autismo, que muitas pessoas relataram como impactando positivamente suas vidas.
Já a falta de apoio e de compreensão após o diagnóstico, combinadas aos longos períodos de espera por uma avaliação para obter um diagnóstico e para acessar o apoio de acompanhamento, apresenta impacto negativo na vida de muitos(as) autistas.
Desta forma, o presente estudo, realizado para identificar qual tipo de apoio autistas precisam e desejam após receberem o diagnóstico, foi projetado de maneira colaborativa, envolvendo tanto um grupo de 10 adultos autistas quanto um grupo de pesquisadores.
Adultos autistas (n = 43) diagnosticados, com 18 anos ou mais de idade, preencheram três questionários. Em seguida, um quarto questionário foi respondido por 139 autistas que receberam o diagnóstico na idade adulta. Esses questionários tinham como objetivo ajudar as pessoas a identificarem suas prioridades no que diz respeito ao apoio que gostariam de receber após terem obtido o diagnóstico de autismo.
Participantes do estudo classificaram como as suas principais prioridades o acesso efetivo ao apoio provido no local onde residem (inclusive possibilitando o combate à fadiga de acesso), a adequada formação de profissionais relacionada ao autismo, o apoio para processar o impacto de um diagnóstico tardio, a utilização do modo de contato preferido (ex.: contato individual) e um plano de apoio personalizado.
Os resultados indicam que políticas públicas e provedores de serviços devem considerar como importantes informações o que foi altamente valorizado pelos adultos autistas pesquisados(as), contemplando efetiva acessibilidade ao apoio local, treinamento adequado de profissionais que oferecem uma ampla gama de opções de contato, apoio para autistas processarem seus diagnósticos tardios do Transtorno do Espectro do Autismo, bem como ajuda para desenvolver e implementar planos de suporte individualizados.
Referência
CROWSON, S. et al. Understanding the post-diagnostic support priorities of autistic adults in the United Kingdom: a co-produced modified Delphi study. Autism, v. 28, n. 4, p. 854–865, 2024. Disponível em: https://doi.org/10.1177/13623613231196805. Acesso em: 22 jul. 2024.
O efeito das rotinas de sono-vigília nos estados emocionais negativos e nos comportamentos agressivos em adultos com Transtornos do Espectro do Autismo (TEA) durante o surto de COVID-19
Conforme Levante et al. (2022),
A interrupção da rotina pode estar relacionada à vivência de estados emocionais negativos e comportamentos agressivos em autistas. O confinamento devido à COVID-19 contribuiu para a perturbação das rotinas dos indivíduos, incluindo o ciclo sono-vigília. O presente estudo testou uma relação entre a adesão à rotina sono-vigília e comportamentos agressivos por meio do papel mediador de estados emocionais negativos (ansiedade e raiva).
Quarenta e três pais de adultos autistas preencheram um questionário online sobre a sua condição de vida durante o primeiro período de confinamento (abril-maio de 2020). Análises preliminares mostraram uma piora nos comportamentos agressivos dos adultos durante o confinamento em comparação com antes desse período (Z = −3,130; p = 0,002). Nos modelos de mediação, a relação entre a adesão às rotinas de sono-vigília e os comportamentos agressivos foi significativa. Os modelos mostraram as relações mediadas hipotéticas entre a adesão às rotinas de sono-vigília, estados emocionais negativos e comportamentos agressivos (Modelo 1: F (1, 41) = 10,478, p < 0,001; Modelo 2: F (1, 41) = 9,826, p = 0,003).
Os resultados confirmaram o potencial papel protetor da adesão às rotinas de sono-vigília para o ajustamento emocional e comportamental de adultos com autismo. Foram discutidas as contribuições teóricas e práticas do estudo; de fato, os resultados podem colaborar para o aconselhamento dos pais, bem como para programas de intervenção para autistas, uma vez que a higiene adequada do sono pode contribuir para melhorias nos comportamentos de internalização/externalização.
Referência
LEVANTE, A. et al. The effect of sleep–wake routines on the negative emotional states and aggressive behaviors in adults with Autism Spectrum Disorders (ASD) during the COVID-19 outbreak. International Journal of Environmental Research and Public Health, v. 19, n. 9, p. 4957, 2022.
Uma análise dos hábitos de leitura de adultos autistas em comparação com adultos neurotípicos e implicações para intervenções futuras
Conforme Chapple et al. (2021),
Embora pesquisas tenham destacado consistentemente a utilidade dos textos narrativos para o desenvolvimento social, isto não foi totalmente explorado com adultos autistas. Há muito se supõe que autistas não têm compreensão social para contemplar a ficção, preferindo a não-ficção.
Este estudo teve como objetivo explorar os hábitos de leitura autorreferidos de adultos autistas em comparação com adultos neurotípicos, levando em conta demandas educacionais mais elevadas. Foi utilizado um desenho qualitativo, com 43 participantes (22 autistas; 21 neurotípicos) preenchendo um questionário sobre hábitos de leitura e posterior entrevista semiestruturada.
Os participantes neurotípicos tenderam a preferir a ficção, com os participantes autistas não mostrando preferência entre ficção e não-ficção. Quatro temas foram identificados a partir dos dados das entrevistas (1) escolhas de materiais de leitura; (2) investimento no texto; (3) compreensão social do texto; e (4) leitura como dispositivo social de aprendizagem. Ambos os grupos relataram evidências de empatia, tomada de perspectiva e compreensão social durante a leitura. O grupo autista adicionalmente relatou resultados de aprendizagem social decorrentes da leitura.
Os resultados contradizem suposições anteriores de que os indivíduos autistas carecem da compreensão social exigida pela ficção. Em vez disso, os resultados mostram que os benefícios sociais dos textos narrativos se estendem aos leitores autistas, proporcionando importantes experiências de aprendizagem social.
As descobertas deste estudo contestam suposições anteriores de que autistas não gostam de ficção (Baron-Cohen et al., 2001). Os presentes achados concordaram e expandiram o artigo de Barnes (2012), mostrando uma preferência igual por ficção e não ficção nos adultos autistas incluídos nesta pesquisa.
Essas descobertas também criticam suposições anteriores excessivamente simples relacionadas às dificuldades empáticas e da Teoria da Mente (ToM, em inglês) em autistas (Baron-Cohen, 1997). Os participantes de todos os grupos demonstraram respostas de texto afetivas e empáticas, bem como uma capacidade de assumir a perspectiva dos personagens.
Nesta pesquisa descobriu-se que leitores adultos autistas demonstraram uma apreciação profunda pela literatura narrativa, tornando possíveis investimentos emocionais e uma compreensão social mais ampla. Isto, juntamente com as descobertas sobre a aprendizagem social vivenciada pelos participantes autistas, mostra que a leitura é uma intervenção de apoio potencialmente vantajosa para adultos autistas que desejam construir a sua confiança social.
Além disso, a leitura pode ser uma ferramenta importante para intervenções de dupla empatia, para melhorar a compreensão social mútua entre grupos autistas e neurotípicos (Milton, 2012) e como meio de reduzir a solidão. No entanto, mais pesquisas são necessárias para explorar como a leitura poderia ser implementada no paradigma da dupla empatia.
Referência
CHAPPLE, M. et al. An analysis of the reading habits of autistic adults compared to neurotypical adults and implications for future interventions. Research in Developmental Disabilities, v. 115, p. 104003, 2021.
Experiências de sobrecarga sensorial e barreiras de comunicação de adultos autistas em ambientes de saúde
Segundo Strönberg et al. (2022),
As necessidades de cuidados de saúde dos adultos autistas muitas vezes não são atendidas. Isto pode contribuir para piores resultados de saúde em adultos autistas em comparação com adultos não autistas. As diferenças autísticas podem não ser óbvias neste grupo devido a estratégias de compensação comportamental. Os(as) prestadores(as) de serviços relacionados à saúde podem subestimar as necessidades de apoio dos adultos autistas, levando à diminuição da qualidade dos cuidados. Ao analisar as experiências de adultos autistas podemos compreender melhor as barreiras a cuidados de saúde eficazes.
O objetivo da pesquisa de Strönberg et al. (2022) foi identificar padrões de experiências sensoriais e comunicativas que os adultos autistas consideram problemáticos em ambientes de saúde. Por meio de questionário online foi perguntado a adultos autistas e não autistas como eles vivenciavam vários ambientes médicos. Foram investigadas informações sensoriais específicas, como níveis de luz e sons de fundo, em salas de espera e outros contextos médicos, além da comunicação entre pacientes e prestadores(as) de serviços de saúde. Foi realizada análise qualitativa das respostas (texto livre) sobre ambientes sensoriais para ambos os grupos e sobre comunicação para o grupo autista.
Participaram deste estudo 98 pessoas, dentre as quais 62 eram autistas. A maior parte era composta por mulheres ou pessoas de gênero diversificado, por pessoas de meia-idade e com boa escolaridade. Os(as) participantes autistas identificaram os estímulos auditivos como um dos maiores estressores em ambientes médicos. Eles(as) discutiram o impacto dos níveis de luz e da presença de outras pessoas nos seus níveis de energia, bem como na sua capacidade de comunicação. Os(as) prestadores de serviços de saúde muitas vezes interpretavam mal seus/suas pacientes autistas, levando a uma falha na transferência de informações médicas. Os(as) participantes descreveram como esses(as) prestadores(as) subestimavam as suas necessidades, mesmo quando estavam cientes do diagnóstico de autismo. Participantes queriam que as informações fossem providas em um ritmo mais lento e com maior quantidade de detalhes para serem mais capazes de processar informações ou procedimentos médicos.
O estudo em questão contribui com informações sobre desafios sensoriais específicos e sugere que o ruído captado pela audição de autistas é particularmente problemático. Em relação à comunicação, os resultados apontam para o problema de dupla empatia, no qual as próprias limitações do(a) prestador(a) de serviço de saúde contribuem significativamente para as barreiras de comunicação. Isto ficou evidente em relação à comunicação não-verbal, na qual as expectativas do(a) prestador(a) de serviço de saúde sobre a linguagem corporal neurotípica causaram mal-entendidos difíceis de superar.
A amostra era pequena e compreendia um grupo demográfico etnicamente restrito. Assim, os resultados não são generalizáveis para outras populações autistas, como adultos minimamente verbais. Também não foi investigado o estado de saúde além das condições diagnosticadas.
As consequências das barreiras sensoriais e comunicativas podem passar totalmente despercebidas quando as diferenças autísticas não são visíveis. Interações malsucedidas com o sistema de saúde podem ter enormes efeitos na saúde e na qualidade de vida de autistas. Portanto, educadores(as) e prestadores(as) de serviços de saúde podem usar as perspicazes informações fornecidas pelos participantes autistas deste estudo para informar decisões relacionadas ao treinamento de pessoal ou ao design de ambientes sensoriais.
Referência
STRÖMBERG, M. et al. Experiences of sensory overload and communication barriers by autistic adults in health care settings. Autism in adulthood: challenges and management, v. 4, n. 1, p. 66–75, 2022. Disponível em: https://pubmed.ncbi.nlm.nih.gov/36600905/. Acesso em: 5 jul. 2024.
Transtorno do Espectro do Autismo e Transtorno de Estresse Pós-Traumático: uma coocorrência inexplorada de condições
De acordo com Haruvi-Lamdan et al. (2020),
Pessoas com Transtorno do Espectro do Autismo (TEA) apresentam um risco aumentado de vivenciar eventos potencialmente traumáticos e particularmente, vitimização social. No entanto, a coocorrência de TEA e Transtorno de Estresse Pós-Traumático (TEPT) foi pouco estudada.
Vale ressaltar que coocorrência é a denominação atualmente utilizada para caracterizar a ocorrência de mais de uma condição ao mesmo tempo, como autismo e Transtorno do Déficit de Atenção com Hiperatividade (TDAH), substituindo o termo comorbidade (MONK; WHITEHOUSE; WADDINGTON, 2022).
Haruvi-Lamdan et al. (2020) examinaram a exposição a eventos potencialmente traumáticos durante a vida e sintomas de TEPT em adultos autistas e em adultos típicos. Os 25 adultos autistas e os 25 adultos típicos estudados apresentaram idade e sexo comparáveis. Os participantes relataram eventos de vida potencialmente traumáticos de natureza social e não social, além de sintomas de TEPT relacionados ao evento mais angustiante.
Os resultados mostraram taxas mais altas de provável TEPT no grupo do TEA (32%) em comparação ao grupo de adultos típicos (4%). Indivíduos com TEA relataram mais sintomas de TEPT, particularmente repetição da situação vivenciada (reexperiência) e hiperexcitação, em comparação com adultos típicos, embora este último resultado tenha sido elevado apenas em mulheres autistas.
Os participantes com TEA, especialmente mulheres autistas, relataram mais eventos de vida negativos, particularmente eventos sociais, do que os adultos típicos. Sessenta por cento dos participantes autistas, mas apenas 20% dos adultos típicos, indicaram um evento social como o evento mais angustiante. Indivíduos com TEA e coocorrência de provável TEPT apresentaram habilidades sociais mais pobres em comparação com aqueles que eram apenas autistas.
Os resultados indicam aumento da vulnerabilidade de autistas ao trauma e ao TEPT especialmente devido a fatores sociais distressantes (estresse negativo). Mulheres autistas podem ser particularmente vulneráveis ao TEPT.
Referências
HARUVI-LAMDAN, N. et al. Autism Spectrum Disorder and Post-Traumatic Stress Disorder: an unexplored co-occurrence of conditions. Autism, v. 24, n. 4, p. 884–898, 2020. Disponível em: https://journals.sagepub.com/doi/10.1177/1362361320912143. Acesso em: 02 jul. 2024.
MONK, R.; WHITEHOUSE, A. J. O.; WADDINGTON, H. The use of language in autism research. Trends in Neurosciences, v. 45, n. 11, p. 791–793, 2022.
Fadiga de acesso: o trabalho retórico da deficiência na vida cotidiana
A fadiga de acesso, no ensaio de Konrad (2021), é contemplada ao:
Referência
KONRAD, A. M. Access fatigue: the rhetorical work of disability in everyday life. College English, v. 83, n. 3, p. 21, 2021. Disponível em: https://publicationsncte.org/docserver/fulltext/ce/83/3/collegeenglish31093.pdf?expires=1715980129&id=id&accname=guest&checksum=DDFCCB431C37C65B2BF6C80A0419FED8. Acesso em: 10 abr. 2024.
O autismo representa o próximo estágio da evolução humana?
Em seu artigo teórico, Diviricean (2018) informa que
Vários especialistas na área do Transtorno do Espectro do Autismo responderiam firmemente “sim” à questão “O autismo poderia representar o próximo estágio da evolução humana?”
Os defensores dessa ideia referem-se especificamente àqueles indivíduos que fazem parte do espectro, mas sem deficiência intelectual, embora não exista uma teoria bem definida e demonstrada para essa hipótese.
Muitas pessoas com autismo têm habilidades de memória excepcionais, alta acuidade em sentidos como visão, paladar e olfato, bem como um nível de compreensão altamente desenvolvido.
A incorporação de algumas dessas competências na sociedade teria desempenhado um papel vital no desenvolvimento geral da humanidade ao transmitir as descobertas feitas por essas pessoas às suas comunidades.
Essa lógica é sugerida em relatório antropológico publicado em 2016 na revista acadêmica ‘Tempo e Mente’ por Spikins, Wright e Hodgson, pesquisadores da Universidade de York.
Referência
DIVIRICEAN, M. Does autism represent the next stage of human evolution? Romanian Journal of Cognitive Behavioral Therapy and Hypnosis, v. 5, n. 1–2, p. 1–7, 2018.
A experiência de meltdowns vivenciada por adultos autistas
Como ainda é relativamente desconhecida a sensação de uma pessoa com autismo ter um meltdown (colapso, explosão), Lewis e Stevens (2023) entrevistaram 32 adultos autistas, registrando pensamentos e sentimentos sobre como é vivenciar essa terrível experiência.
Apesar dos diferentes significados provenientes de pessoas únicas, a maioria relatou ficar sobrecarregada por informações, estímulos sensoriais, estresse social e estresse emocional.
Essas pessoas com autismo inclusive descreveram uma sensação de opressão devido a mudanças no planejamento ou na rotina, às suas próprias emoções ou a outras tensões que levaram ao meltdown. Exemplos dessas situações incluíram estar em atração turística movimentada, receber um mau atendimento ao cliente, sentir-se decepcionado(a) por um(a) parceiro(a) ou amigo(a) e ter uma profunda discussão filosófica em sala de aula. Muitos até descreveram cenas nas quais os fatores estressores eram agrupados, como quando se sentiram sobrecarregados(as) por estímulos sensoriais e suas estratégias para superarem a situação provocaram atenção social indesejada, aumentando seu distresse (estresse negativo).
Eles(as) relataram que emoções extremas, como raiva, tristeza e medo, frequentemente eram experimentadas durante o meltdown, além de vivenciarem dificuldade com processamento de pensamentos e memória.
Muitos(as) descreveram ter uma raiva incontrolável durante o meltdown, desconhecendo como processar a intensidade das suas emoções. Eles(as) igualaram suas emoções a dores físicas, como uma dor cíclica sem possibilidade de ser interrompida ou como se sangrassem e ninguém pudesse ajudar.
Ainda assim, participantes do estudo relataram que tentavam manter o autocontrole, apesar de muitas vezes sentirem que não eram eles(as) próprios(as) durante os meltdowns.
Esses(as) autistas descreveram o meltdown como um modo de extravasar as extremas emoções que sentiam, tentando afastar-se de pessoas e outras fontes que poderiam desencadear o meltdown ou certificando-se de que estariam sozinhos(as) se percebiam que um meltdown poderia acontecer a fim de evitarem danos, inclusive aos seus próprios corpos, suas emoções e seus relacionamentos.
Os resultados dessa pesquisa oferecem importante entendimento sobre meltdowns de adultos(as) autistas, a partir de seus pontos de vista.
Referência
LEWIS, L. F.; STEVENS, K. The lived experience of meltdowns for autistic adults. Autism, v. 27, n. 6, p. 1817–1825, 2023. Disponível em: https://journals.sagepub.com/doi/10.1177/13623613221145783?url_ver=Z39.88-2003&rfr_id=ori%3Arid%3Acrossref.org&rfr_dat=cr_pub++0pubmed. Acesso em: 14 jun. 2024.
“Ter todos os seus recursos internos esgotados além do limite e ficar sem equipe de limpeza”: definindo o burnout autista
Por que o estudo de Raymaker et al. (2020) foi feito?
O burnout autista é muito discutido entre autistas, mas não foi formalmente abordado por pesquisadores. É uma questão importante para a comunidade autista porque é descrita como causadora de sofrimento, com prejuízos no contexto do trabalho, da escola, da saúde e da qualidade de vida, podendo até levar a comportamento suicida.
Qual foi o objetivo do estudo de Raymaker et al. (2020)?
O estudo em questão teve como objetivo caracterizar o burnout autista, entender como é, o que as pessoas acham que o causa e o que ajuda as pessoas a se recuperarem ou prevenirem. É um primeiro passo para começar a compreender o burnout autista bem o suficiente para abordá-lo.
O que os(as) pesquisadores fizeram?
O grupo de pesquisa de Raymaker et al. (2020) -Parceria Acadêmica do Espectro do Autismo em Pesquisa e Educação- utilizou uma abordagem de pesquisa participativa baseada na comunidade com a comunidade autista em todas as fases do estudo. Foram analisadas nove entrevistas do referido estudo sobre emprego, dez entrevistas sobre burnout autista e 19 fontes públicas da internet (cinco em profundidade). Foram recrutados participantes nos Estados Unidos da América por meio de divulgação nas redes sociais, boca a boca e por conexões comunitárias. Ao serem analisadas as entrevistas foi contemplado o que as pessoas expuseram e em um contexto social mais profundo, procurando nos dados temas fortemente expressivos.
Quais foram os resultados do estudo?
As principais características do burnout autista foram exaustão crônica, perda de habilidades e tolerância reduzida a estímulos. Os participantes descreveram o burnout como causado por fatores de estresse da vida que se somaram à carga cumulativa que experienciaram, bem como por barreiras que proporcionaram incapacidade de obter alívio da carga vivenciada. Essas pressões fizeram com que as expectativas superassem as habilidades, resultando em burnout autista. A partir disso, Raymaker et al. (2020) criaram a seguinte definição: burnout autista é uma síndrome resultante do estresse crônico da vida e de uma incompatibilidade entre expectativas e habilidades sem suporte adequado. Esse burnout específico é caracterizado por exaustão generalizada e de longo prazo (normalmente mais de três meses), perda de função e tolerância reduzida a estímulos. Participantes descreveram impactos negativos em suas vidas, abrangendo saúde, capacidade de vida independente, qualidade de vida e comportamento suicida. Eles(as) também discutiram a falta de empatia por parte de pessoas neurotípicas. Participantes tiveram ideias para promover a recuperação do burnout autista, incluindo aceitação e apoio social, folga/redução das expectativas e interações sem mascaramento (atuando de maneira autenticamente autística).
Como essas descobertas são somadas ao que já era conhecido?
Agora há dados mais explícitos sobre o burnout autista, que se refere a um conjunto claro de características e é diferente do burnout ocupacional e da depressão clínica. A partir dos resultados da pesquisa, existe um início de modelo que explica o motivo pelo qual o burnout autista pode acontecer. E como foram identificadas pessoas que conseguiram recuperar-se do burnout autista, houve identificação das suas estratégias.
Quais são os potenciais pontos fracos do estudo?
Esse pequeno estudo exploratório teve amostragem por conveniência. Embora Raymaker et al. (2020) tenham trazido alguma diversidade ao serem utilizadas três fontes de dados, trabalhos futuros beneficiariam a área ao entrevistarem uma gama mais ampla de participantes, especialmente aqueles que não são brancos, têm maiores necessidades de apoio e têm níveis de escolaridade muito elevados ou muito baixos. Mais pesquisas são necessárias para entender como medir, prevenir e tratar o burnout autista.
Como essas descobertas ajudarão os adultos autistas agora ou no futuro?
Os achados dessa pesquisa validam a experiência de adultos autistas. Compreender o burnout autista pode levar a maneiras de ajudar a aliviá-lo ou preveni-lo. As descobertas podem ajudar terapeutas e outros profissionais a reconhecerem o burnout autista, bem como os perigos potenciais de ensinar pessoas autistas a mascararem traços autistas. Os programas de prevenção ao suicídio devem considerar o papel potencial do burnout. Essas descobertas destacam a necessidade de reduzir a discriminação e o estigma em torno do autismo e da deficiência.
Referência
RAYMAKER, D. M. et al. “Having all of your internal resources exhausted beyond measure and being left with no clean-up crew”: defining autistic burnout. Autism in adulthood: challenges and management, v. 2, n. 2, p. 132–143, 2020. Disponível em: https://pubmed.ncbi.nlm.nih.gov/32851204/. Acesso em: 31 maio 2024.
‘É uma violência simbólica’: experiências de discriminação de pessoas autistas em universidades na Austrália
De acordo com Tan et al. (2024), uma barreira significativa identificada em pesquisas anteriores foram as experiências de universitários autistas relacionadas à discriminação (serem tratados de forma diferente) e ao estigma (serem julgados de forma diferente).
A equipe de Tan et al. (2024), integrada por pesquisadores(as) autistas e não autistas, explorou as experiências de estigma e discriminação de estudantes autistas em universidades australianas, entrevistando 21 universitários(as) com autismo (alguns tinham finalizado seus cursos e outros não).
Nas entrevistas foram identificados quatro temas:
Em vista dos resultados, recomenda-se a adoção de mudanças na forma como os cursos são planejados e ministrados para que autistas tenham oportunidades que atendam às suas formas de aprendizagem.
Também é importante que técnico-administrativos(as) e docentes das universidades compreendam o impacto do trauma vivenciado por pessoas com autismo e que as universidades trabalhem em conjunto com autistas para conceberem cursos e suporte que incluam formas autísticas de aprendizagem, processos burocráticos acessíveis e identificação de necessidades de apoio.
Referência
TAN, D. W. et al. ‘It’s a symbolic violence’: autistic people’s experiences of discrimination at universities in Australia. Autism, v. 28, n. 6, p. 1345–1356, 2024. Disponível em: https://journals.sagepub.com/doi/full/10.1177/13623613231219744. Acesso em: 10 jun. 2024.
Por favor, se verificar que links não estão funcionando, entre em contato indicando as falhas.